見た目や機能面など総合的なバランスを整え健康で美しい口内環境を作る治療を行います
見た目や機能面など総合的なバランスを整え健康で美しい口内環境を作る治療を行います
色や形、かみ合わせ、歯並びなど、様々な要素がありますが、当医院では、最先端の歯科医療技術で審美的にも機能的にも患者様一人ひとりに合ったプランをご提供し、ご満足いただけるゴールを目指します。審美歯科に関するお悩みなど、ご遠慮なくご相談ください。
一般の歯科治療では、虫歯などの除去や歯の機能を回復するといった治療に重点が置かれますが、審美治療では、さらに、美しく健康な歯や歯肉を作ることを目的としています。笑顔に自信がない、歯にコンプレックスがあり口元を隠してしまう、思い切り笑えないなどという方の悩みを解消いたします。
穴や隙間の大きさや形態によっては詰め物の完成まで日数が1週間程度かかります。しかしダイレクトボンディングで施術をおこなうと、約1時間で歯の修復が可能です。見た目も天然の歯のように白く美しく仕上げることができコストも抑えることができるので、お忙しい方にも人気です

症例
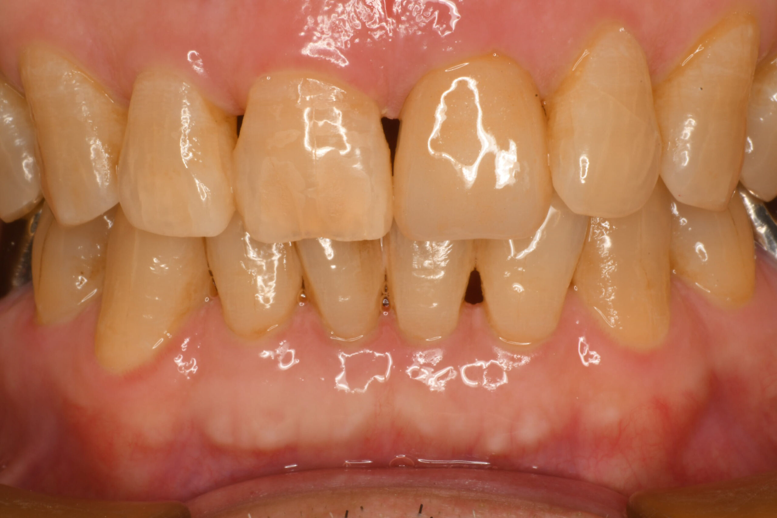
【 CASE 1 】 男性・70代 治療方法:左上1番・ジルコニアクラウン 費用:132,000円 治療期間:1週間
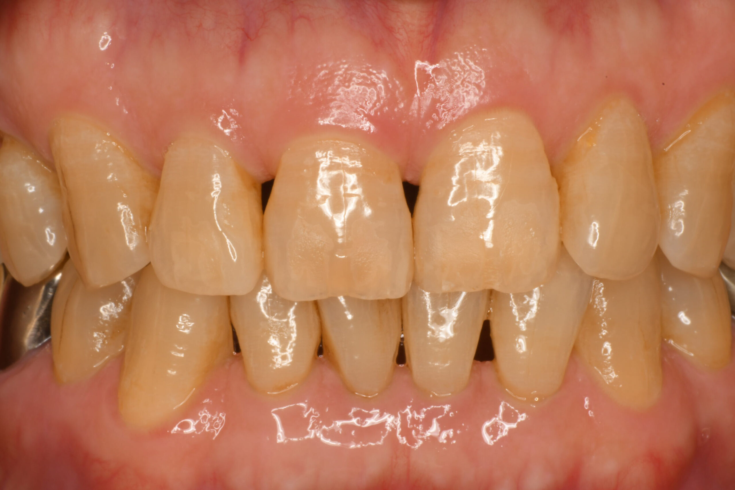
【 CASE 2 】 女性・30代 治療方法:部分(ワイヤー)矯正 + セラミッククラウン 費用:693,000円 治療期間:約7ヶ月